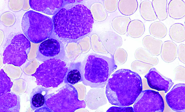
血癌的“阿喀琉斯之踵”为新疗法打开大门 对一种致命的血癌形式的新发现可能有助于开发出比现有化疗药物副作用显著减少的新药。这一发现可能导致新型治疗方法,可有效清除急性髓细胞白血病(AML)中的血癌细胞,而不会伤害健康的血液细胞。研究人员发现人体中的一种蛋白在AML中扮演关键角色 - 一种白血细胞的侵袭性癌症,其存活率很低。研究表明这种蛋白,即YTHDF2,是诱发和维持疾病所需的,但对于健康细胞的功能则不需要。这将YTHDF2确定为白血病的一个有前途的药物靶标。爱丁堡大学和伦敦玛丽女王大学领导的一个研究团队进行了一系列实验,以了解YTHDF2在血癌中的作用。这项研究与曼彻斯特大学、哈佛医学院和图尔大学合作进行,并发表在《干细胞》杂志上。该研究得到了英国癌症研究会和威康基金会的支持。通过对白血病患者献血样品的测试表明,这种蛋白在癌细胞中丰富,而对小鼠的实验发现,这种蛋白是诱发和维持疾病所必需的。进一步的测试使科学家能够确定干涉YTHDF2功能的生物通路,选择性杀死血癌细胞。重要的是,他们还表明这种蛋白不需要支持健康造血干细胞的功能,这些干细胞负责生产所有正常的血液细胞。事实上,YTHDF2不在时,血液干细胞的活性甚至更高。爱丁堡大学生物科学学院的Donal O"Carroll教授,共同领导了这项研究,表示:“该研究显示了一种新型药物作为癌症和再生医学治疗的潜力。”伦敦玛丽女王大学巴茨癌症研究所的Kamil Kranc教授,共同领导了这项研究,表示:“我们的工作为治疗白血病中的癌干细胞奠定了基础,同时增强了正常血液干细胞的再生潜力。我们希望这将确立癌症治疗的一个新范式。”癌症是曼彻斯特大学研究触角之一——开拓性发现,跨学科合作和跨部门伙伴关系的例证,正在解决一些面临地球的最大问题。#研究触角,分享这次发布。深入阅读。
